欢迎访问江苏省计算机学会网站!    设为首页  |  收藏本站
江苏省计算机学会
  •  当前位置首页 > 社会服务 > 疫情前线
    社会服务  
    服务政府
    服务学校
    服务产业
    人才培养
    标准制定
    疫情前线
    科技竞赛
    服务会员
     
    疫情前线
    JSCS战“疫”情2月17
    发布时间:2020-02-17

    【编者按】

    为充分发挥江苏IT业界在疫情防控中的赋能效用,江苏省计算机学会将持续发布“JSCS战‘疫’情”特刊,内容包括:面向广大人民群众科普防“疫”知识,面向学生朋友提供免费在线课堂信息,面向会员单位或个人推荐有效的疫情防控产品、宣传抗疫的优秀典型事迹,面向社会帮扶受疫情影响的企业或个人。

    与此同时,也持续面向会员征集有关疫情防控软硬件产品、技术、平台、解决方案以及应用场景和成效。可以通过二维码快速填报,也可以直接将信息发送到邮箱jscs@nju.edu.cn,联系人石克 18114472513

    【今日发布】

    停课不停教、不停学—苏州大学《嵌入式系统及应用》免费直播课

    苏州大学

    授课团队:王宜怀、张建、王林

    课程链接:

    https://www.icourse163.org/course/SUDA-1001754273?utm_source=weixin&utm_medium=iphoneShare&utm_campaign=share

    课程简介:

    嵌入式系统是嵌入式人工智能与物联网的重要基础,该课程以ARM Cortex-M微处理器为蓝本,以软硬件构件为主线,基于嵌入式软件工程基本原理,按照"通用知识—驱动构件使用方法—测试实例—芯片编程结构—构件设计方法”的线条,逐步阐述嵌入式系统基本知识要素及较为规范的底层软硬件相结合的设计方法。

    本课程是计算机科学与技术、物联网工程、电子信息等专业的重要技术类课程。嵌入式计算机系统简称为嵌入式系统,其概念最初源于传统测控系统对计算机的需求,是不以计算机面目出现的“计算机”,这个计算机系统隐含在各类具体的产品之中,在这些产品中,计算机程序起到了重要作用。其应用范围可以粗略分为两大类:一类是电子系统智能化(如工业控制、汽车电子、家用电器、物联网应用、嵌入式人工智能等),这类应用也被称为微控制器MCU领域,从形态上看,更类似于早期的电子系统,但内部计算程序起核心控制作用。另一类是计算机应用的延伸(如平板电脑、手机等),这类应用也被称为应用处理器MAP领域。

    停课不停教、不停学——《C程序设计》免费直播课在爱课程和文泉课堂两个平台同时开放

    南京大学

    授课讲师:金莹

    课程链接:

    http://www.icourse163.org/course/NJU-1207002811

    https://www.wqketang.com/course/88091

    课程简介:

    本课程是程序设计的基础课程,可以作为第一门程序设计语言学习,没有基础也没关系,只要跟随课程讲解的内容,勤于练习,就能掌握程序设计的基本方法,具备使用C语言编写、调试程序的能力。本课程对应的教材是清华大学出版社出版谭浩强教授编写的《C程序设计(第五版)》。

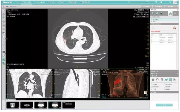
    计算机软硬件、技术、平台、解决方案和应用场景的疫情防控成品——新冠肺炎智能辅助筛查系统——“火眼AI”。

    东软集团南京分公司

    联系人:汪翔

    联系电话:13851780510

    疫情进入攻坚战的重要时刻,快速有效地筛查疑似病例是当前战疫的重点。依托东软医疗与广州医科大学附属第一医院所属广州呼吸健康研究院(钟南山院士团队)共同组建的“国家呼吸系统疾病临床医学研究中心呼吸影像大数据与人工智能应用联合实验室”,联合吉林大学第一医院、武汉市第一医院等多家奋战在抗疫一线的医疗机构,东软医疗快速研发和推出了新冠肺炎智能辅助筛查系统——“火眼AI”。

    “火眼AI”是根据最新的新冠肺炎影像学诊断指南和专家共识,通过深入分析新冠肺炎的影像学征象,集新冠肺炎早期筛查、病灶快速检测、疗效评估和病情进展分析的综合解决方案。东软医疗智能医学影像云平台NeuMiva搭载的“火眼AI”系统,在疫情期间向全国的医疗机构免费开放使用。

    “火眼AI”利用人工智能技术,可快速针对患者CT影像进行新冠肺炎相关的典型征象的智能检测,可快速标记病灶位置、精准评估病灶情况。并通过本地版及云端版等多种应用形态的方式实现快速部署,医院可根据实际需求选择对应的应用形态。

    计算机软硬件、技术、平台、解决方案和应用场景的疫情防控成品——东软NetEye免费提供VPN网关远程办公解决方案

    沈阳东软系统工程有限公司

    联系人:汪翔

    联系电话:13851780510

    2月初东软NetEye发出“免费提供VPN网关远程办公解决方案”以来,已收到众多企事业单位的需求,东软网络安全工程师立即做出响应,依据不同的网络环境及应用场景为客户完成了VPN网关的搭建及实施工作。为企业、政府等单位提供远程接入、移动办公、远程运维等接入服务;提供用户认证功能,保障内网信息安全;支持多种加密算法,保障数据传输安全;细粒度访问权限管控,防止信息外泄。

    计算机软硬件、技术、平台、解决方案和应用场景的疫情防控成品——疫情预测动力模型、数据分析

    南京云创大数据科技股份有限公司

    联系人:张燕

    联系电话:15850537801

    "云创大数据参与完成新冠肺炎疫情预报并向钟南山院士汇报!

    为实现科学防治,打赢新冠肺炎疫情防控阻击战。近日,广州呼吸健康研究院牵头,联合云创大数据等多家单位对新冠肺炎疫情进行了全面研究。广州呼吸健康研究院由钟南山院士创立,是呼吸疾病国家重点实验室,国家呼吸疾病临床医学研究中心、国家高级别专家组、科研攻关组组长单位。

    在此次与广州呼吸健康研究院的合作中,清华大学博士、中国大数据应用联盟人工智能专家委员会主任、南京大数据研究院院长、云创大数据总裁刘鹏教授率云创大数据技术团队——曹骝、沈大为、高中强、曹旭东、罗艺峰、时晨皓、郑圣杰,参与了新型冠状病毒人工智能预测研发工作。

    在该项目中,云创大数据技术团队兵分两组,一组采用改进的经典模型,另一组则基于人工智能技术进行研究,旨在对疫情的发展走向作出准确预报。由几家单位构成的研究团队经过连夜奋战,目前已经取得初步成果,并于212日晚向钟南山院士做了汇报。

    上一篇:JSCS战“疫”情2月16
    下一篇:JSCS战“疫”情2月18
    友情链接:
    江苏省科学技术协会 中国计算机学会 南京大学 南京大学计算机科技与技术系 南京大学软件学院 东南大学计算机科学与工程学院 江苏经贸职业技术学院 南京信息职业技术学院 南京工业职业技术学院 江苏海事职业技术学院 常州信息职业技术学院 国网电力科学研究院 电子科技集团第28研究所 江南计算技术研究所 
       
     

    Copyright (c) 版权所有 江苏省计算机学会          南京网站建设公司
    秘书处办公室       地址: 江苏省南京市仙林大道163号  邮编:210023   电话/传真:025-89680909   
    秘书处市内联络点   地址: 江苏省南京市汉口路22号     邮编:210093   电话/传真:025-86635622
    电子邮箱:jscs@nju.edu.cn   网址:www.jscs.org.cn    技术支持:南京成旭通信息技术有限公司  

    网站备案号:苏ICP备14049275号-1   公安备案号:苏公网安备32011302323110号

    您是本站第71739056位来客!